手術
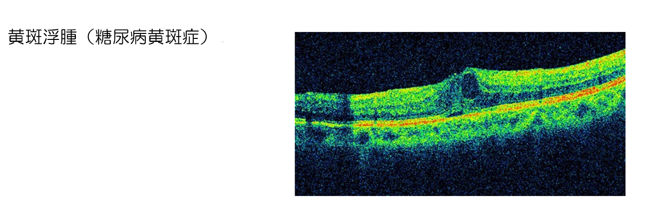
糖尿病網膜症治療
糖尿病とは血液の中に含まれる糖分(血糖値)の上げ下げがうまくいかず高くなり、それに伴ってさまざまな症状や、他の病気を引きおこす病気です。なかでも、血液が流れる血管が傷んでしまうことは有名で、糖尿病の三大合併症といわれる「糖尿病網膜症(目)」、「糖尿病性腎症(腎臓)」、「糖尿病性神経症(神経)」はいずれも、それぞれの部分を流れる血管が非常に細いため、傷んで出血したり、詰まってしまった状態です。糖尿病網膜症になっても初期のうちは症状がないのですが、進行してくるとどんなに良いメガネをかけてもぼやけて見えたり、あるいは歪んで見えるようになってしまいます。また、網膜は一度機能が悪くなってしまうと元通りになるのはほとんど無理です。実際に現在の日本で、見えないことを理由に身体障害者手帳をお持ちの方の割合は、糖尿病網膜症が第2位となっています。糖尿病網膜症は、糖尿病になってすぐに発症してくるわけではなく、血糖コントロールの状態や、糖尿病になってからの期間が関係してでてきます。また、網膜症がでてくるくらいの糖尿病をお持ちの方は、症状がなくてもすでに心臓や脳の血管が傷んでしまっている可能性が非常に高いです。したがって糖尿病網膜症になってしまった場合には、眼科での検査・治療と並行して内科での治療も見直していく必要があります。
糖尿病と目

最近生活習慣の変化により糖尿病が増加しています。糖尿病で大切なことは、その合併症である腎臓(透析)・神経(壊疽)・眼(失明)を予防することです。これから糖尿病と目についてのお話しをします。糖尿病白内障・新生血管緑内障・眼筋麻痺・角膜上皮障害など多くの症状がありますが、特に糖尿病網膜症が大切です。糖尿病網膜症は成人の失明原因のトップとなっているのです。
糖尿病網膜症と罹患期間
眼にはカメラのフィルムにあたる網膜という場所があります。網膜・腎臓は血管が豊富な場所です。糖尿病とは基本的に血管がつまる病気です。したがって、糖尿病が続く(糖尿病の罹患期間が長い)と網膜がいたんで(糖尿病網膜症が進行して)きます。
(図)糖尿病罹患期間 糖尿病網膜症の発生率(厚生省糖尿病調査班1991年)

糖尿病網膜症と時期・症状・所見



螢光眼底造影検査(FA)

フルオレセイン造影剤を静脈注射した後、眼底の網膜血管の写真を撮影する検査です。糖尿病をはじめ眼底疾患を理解する上で大きな役割を果たします。螢光造影は、網膜の毛細血管レベルの形態変化や血管壁の機能障害など、検眼鏡では観察できない病態を解明します。網膜全体の血管閉塞の程度や新生血管の発生部位を知る上で重要です。これにより光凝固の適応や糖尿病網膜症の時期を判定します。
糖尿病網膜症の治療
治療はそれぞれの網膜の状態によって変わります。表にしてまとめてみました。
当院は
- レーザー光凝固術
- 抗VEGF療法(アイリーア/ルセンティス硝子体内注射)
- マキュエイド治療
- 網膜硝子体手術
すべての治療を行っておりますので、治療が遅れることなく最適な時期に最適な治療を選択できます。

レーザー網膜光凝固術
今見えている見えていないにかかわらず、糖尿病網膜症を抑える為に、すなわち網膜無血管野(虚血部分)の縮小・網膜新生血管の退縮・黄斑浮腫の改善・新生血管緑内障の予防治療・牽引性網膜剥離の予防のためには、網膜光凝固が必要となります。これにより新生血管が伸びてくるのを事前に防ぐことができます。網膜のいたんだ虚血部分へレーザー光を照射し、熱で凝固する手術です。この網膜光凝固術は、受ける時期が早いほど効果が高いといわれています。失明という最悪の事態の予防することを目的に、今日では積極的に行われています。網膜の状態により網膜光凝固は次のタイプに分けられます。
-
局所網膜光凝固
前増殖期に、主に網膜無血管野(虚血部分)の網膜に行われる。 -
汎網膜光凝固
増殖期・前増殖期に、黄斑部を除く網膜全体に行われる。 -
Grid Pattern網膜光凝固
網膜浮腫により視力低下が進行した場合に選択される。
